El sarro dental es uno de los problemas bucodentales más comunes y, al mismo tiempo, uno de los que menos suelen controlarse. Según la encuesta de Salud Oral en España (2020), más del 30% de los adolescentes padecen sarro, en torno a un 67% de los adultos también y más de 70% de los mayores de 65 años sufren esta patología.
Aunque muchas personas lo perciben solo como un inconveniente estético, lo cierto es que puede tener graves consecuencias para la salud oral si no se trata a tiempo.
En este artículo te explico todo lo que necesitas saber sobre qué es el sarro, cómo se forma, qué riesgos implica, cómo eliminarlo de forma profesional y qué hábitos puedes adoptar para prevenirlo de forma fácil.
Qué es el sarro dental y por qué debes eliminarlo
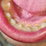
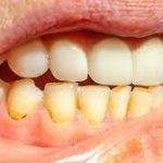
El sarro dental o cálculo es la placa bacteriana endurecida que se forma cuando los restos de comida, bacterias y minerales de la saliva se acumulan sobre los dientes y encías. Con el tiempo, esta placa se calcifica y adquiere una apariencia amarillenta o marrón, llegando incluso a volverse negra en algunos casos.
El sarro aparece cuando la placa bacteriana no se retira correctamente con la higiene diaria. Factores como el tabaco, una dieta rica en azúcares, el consumo de café, vino tinto o té negro, la boca seca y un pH salival bajo aumentan su formación.
Su localización más frecuente está detrás de los dientes inferiores frontales y en la parte posterior de los molares superiores, aunque puede aparecer en cualquier zona de la boca. Además de afectar la estética, el sarro puede desencadenar enfermedades graves como caries, gingivitis o periodontitis.
Si no se elimina adecuadamente con el cepillado y el uso de hilo dental, la placa bacteriana se endurece en 48-72 horas al contacto con las sales minerales de la saliva, transformándose en sarro. A diferencia de la placa, el sarro no puede eliminarse con el cepillado, sino únicamente mediante una limpieza profesional realizada por un dentista o higienista dental.
Composición del sarro
El sarro está formado en un 70-90% por elementos inorgánicos (sales minerales, sobre todo de calcio y fósforo) y en menor medida por sustancias orgánicas como proteínas, carbohidratos y lípidos.
Su aspecto es una costra blanquecina o amarillenta, que con el tiempo puede oscurecerse hasta volverse marrón. Suele aparecer principalmente en:
- La cara interna de los dientes inferiores frontales.
- La superficie externa de los molares superiores.
- Entre los dientes y en la línea de las encías.
Ver más info en la web del Consejo de Colegios de Dentistas
Recuerda que una vez que el sarro se forma, no puede ser eliminado con el cepillado regular. Su consistencia es dura y está firmemente adherida al esmalte de los dientes o a la superficie de las encías, lo que requiere una intervención profesional para su eliminación.
Cómo saber si tengo sarro dental
Algunos signos visibles y sensoriales que pueden indicar su presencia son:
- Manchas amarillas o marrones que no desaparecen con el cepillado.
- Sensación áspera en los dientes al pasar la lengua.
- Encías inflamadas o sangrado frecuente.
Aunque puedas identificarlo de manera visual, la forma más fiable de confirmarlo es acudir a tu dentista, que cuenta con instrumentos especializados para detectarlo y eliminarlo.

Tipos de sarro dental
El sarro no es igual en todas las personas ni en todas las zonas de la boca. Puede variar según su localización, color y grado de dureza.
1. Según su localización
- Sarro supragingival
- Se encuentra en la parte visible del diente, por encima de la línea de la encía.
- Es el más fácil de detectar porque forma una capa blanquecina o amarillenta.
- Suele acumularse en los incisivos inferiores (cara lingual) y en los molares superiores (cara vestibular).
- Aunque es más accesible para el dentista, también puede ocasionar inflamación gingival y halitosis.
- Sarro subgingival
- Se forma debajo de la encía, dentro de los surcos gingivales o en bolsas periodontales.
- Es más difícil de ver y requiere exploración clínica para detectarlo.
- Generalmente es más oscuro (marrón o negro) por el contacto con el fluido gingival y la sangre.
- Está estrechamente relacionado con la periodontitis, ya que favorece la destrucción del hueso y los tejidos de soporte dental.
2. Según su color
- Sarro blanco o amarillento
- Se asocia principalmente al sarro supragingival.
- Es más reciente y menos mineralizado, por lo que puede retirarse con mayor facilidad durante la limpieza dental.
- Sarro marrón o negro
- Generalmente es sarro subgingival o sarro que ha absorbido pigmentos externos (tabaco, café, té, vino tinto).
- Su presencia indica mayor tiempo de evolución y suele ser más duro y compacto.
3. Según su consistencia
- Sarro blando (incipiente)
- Es el sarro en formación, con menor grado de mineralización.
- Aunque ya no puede retirarse solo con el cepillado, es más fácil de eliminar en una limpieza profesional.
- Sarro duro (calcificado)
- Es el más frecuente y problemático.
- Se encuentra firmemente adherido a la superficie dental.
- Requiere instrumental especializado o ultrasonidos para su eliminación.
4. Según su origen (pigmentación externa)
Algunos autores también distinguen el sarro según los factores externos que influyen en su coloración:
-
- Sarro nicotínico: de color marrón oscuro o negro, provocado por el tabaco.
- Sarro cromógeno: asociado al consumo de café, té, vino u otros alimentos con pigmentos.
- Sarro medicamentoso: derivado de algunos colutorios con clorhexidina usados durante periodos prolongados.
Qué problemas causa el sarro en los dientes y encías
Com te decía al principio del artículo, el sarro no es solo un inconveniente estético: es una amenaza directa para la salud bucodental y, en algunos casos, para la salud general del organismo. Ignorar su presencia puede desencadenar una serie de problemas que van desde lo más leve hasta complicaciones graves.
1. Problemas estéticos y funcionales
- Manchas en los dientes: el sarro se adhiere con fuerza y provoca un aspecto amarillento o marrón, que no desaparece con el cepillado.
- Sensación áspera al tacto: Al pasar la lengua, los dientes se sienten rugosos, lo que dificulta una sonrisa estética y cómoda.
- Desgaste progresivo del esmalte: El sarro crea un ambiente ácido que debilita la capa protectora del diente, facilitando la aparición de caries.
- Caries dental: El sarro atrapa bacterias y restos de alimentos. Estas bacterias liberan ácidos que erosionan el esmalte, provocando pequeñas lesiones que, con el tiempo, se convierten en caries profundas que pueden afectar al nervio dental y requerir empastes, endodoncias o incluso la extracción del diente.
2. Enfermedades de las encías
- Gingivitis: Es la fase inicial, caracterizada por encías rojas, inflamadas y que sangran fácilmente al cepillarse o usar hilo dental.
- Periodontitis: Si no se trata, la gingivitis avanza hacia una infección más grave. El sarro se introduce bajo la línea de las encías, creando bolsas periodontales que destruyen el tejido y el hueso que sostienen los dientes. En casos avanzados, esto puede llevar a la pérdida irreversible de piezas dentales.
3. Mal aliento persistente (halitosis)
La acumulación de sarro y bacterias produce compuestos sulfurados volátiles que generan un olor desagradable crónico, difícil de eliminar con enjuagues o chicles.
4. Sensibilidad dental
La retracción de encías causada por el sarro expone la dentina, lo que provoca sensibilidad al frío, al calor o a alimentos ácidos y dulces.
5. Complicaciones en prótesis y tratamientos dentales
En pacientes con implantes, coronas o prótesis dentales, el sarro puede acumularse con mayor facilidad, dificultando su mantenimiento y comprometiendo su durabilidad.
6. Relación con enfermedades sistémicas
Diversos estudios sugieren una relación entre la acumulación de sarro y la enfermedad periodontal con problemas de salud general como:
- Mayor riesgo de enfermedades cardiovasculares (endocarditis, infartos, hipertensión).
- Complicaciones en la diabetes, ya que la inflamación crónica dificulta el control de los niveles de glucosa.
- Problemas durante el embarazo, como parto prematuro o bajo peso al nacer.
Como ves, el sarro no solo afecta la estética dental, sino que puede convertirse en un problema serio para dientes, encías y salud general. Por eso es fundamental prevenirlo y eliminarlo a tiempo mediante limpiezas profesionales y buenos hábitos de higiene bucal.

¿Se puede eliminar el sarro en casa o solo con ayuda del dentista?
Una de las preguntas más frecuentes que me hacen los pacientes es si el sarro se puede eliminar en casa. La respuesta es clara: no es posible quitar el sarro de forma casera.
En internet circulan múltiples remedios como el bicarbonato de sodio, el vinagre de manzana, el aceite de coco o la mezcla con agua oxigenada.
Aunque puedan ayudar a reducir bacterias superficiales, ninguno elimina el sarro calcificado. Además, su uso excesivo puede dañar el esmalte dental y provocar sensibilidad. Por tanto, solo deben considerarse como medidas complementarias de higiene, nunca como sustitutos de una limpieza profesional.
Cuando la placa se endurece y se convierte en sarro, ningún cepillado, enjuague ni remedio casero es suficiente para retirarlo. En estos casos, el único método eficaz es acudir al dentista para realizar una limpieza dental profesional.
¿En qué consiste la limpieza dental profesional?
La limpieza dental o profilaxis es un tratamiento odontológico profesional para eliminar la placa bacteriana y el sarro dental, que son acumulaciones duras y blandas respectivamente, presentes en dientes y encías.
- Es un procedimiento indoloro y rápido, que suele durar entre 30 y 60 minutos.
- El higienista elimina tanto el sarro visible como el que se esconde bajo la línea de las encías.
- Tras la limpieza, se realiza un pulido dental que suaviza la superficie del diente, dificultando la nueva acumulación de placa.
En nuestra clínica dental en Mataró contamos con la tecnología AirFlow, que permite realizar limpiezas más profundas con menos molestias para el paciente.
Ver Airflow. Limpieza dental profesional sin dolor
¿Cada cuánto debo hacerme una limpieza dental?
Los dentistas recomiendan al menos una limpieza profesional al año, aunque en pacientes con mayor riesgo (fumadores, personas con diabetes, mujeres embarazadas o personas con antecedentes de periodontitis) se aconseja dos veces al año.
¿Y si el sarro está muy avanzado?
En casos más graves, donde el sarro se introduce en bolsas periodontales profundas, se recurre al raspado y alisado radicular o curetaje. Este tratamiento se hace con anestesia local y permite limpiar el sarro incrustado en la raíz de los dientes, reduciendo la inflamación y protegiendo la salud de las encías.
Se realiza mediante unos instrumentos manuales llamados curetas periodontales, o con aparatos de ultrasonidos diseñados para acceder a la zona subgingival. Debido a que se trata de una zona sensible, normalmente se aplica anestesia local para evitar molestias durante el procedimiento.
Según el grado de afectación, puede ser necesario realizar el tratamiento por cuadrantes o hemiarcadas, es decir, dividiendo la boca en varias sesiones para una mayor precisión y comodidad del paciente.
Consejos para prevenir la aparición del sarro dental
La prevención es la mejor estrategia contra el sarro. Con una rutina de higiene adecuada y hábitos saludables, puedes reducir drásticamente el riesgo de que se forme placa bacteriana y, por tanto, evitar que esta se endurezca y se convierta en sarro.
1. Cepillado dental correcto y constante
- Cepíllate al menos dos veces al día, preferiblemente después de cada comida.
- Dedica dos minutos completos a la limpieza, asegurándote de cepillar todas las superficies: parte frontal, trasera y zona de masticación.
- Utiliza un cepillo de cerdas suaves que no dañe el esmalte ni las encías.
- Los dentistas recomiendan el uso de cepillos eléctricos y de irrigadores, ya que eliminan mejor la placa que los manuales.
- Emplea una pasta dentífrica con flúor, que refuerza el esmalte y dificulta la aparición de caries.
2. Uso diario de hilo dental o cepillos interproximales
El cepillado por sí solo no llega a los espacios entre los dientes, donde más sarro suele acumularse.
- Usa hilo dental al menos una vez al día.
- Si tienes espacios más amplios, emplea cepillos interproximales que limpian con mayor eficacia.
3. Limpieza de la lengua
- La lengua es un reservorio de bacterias. Si no la limpias, esas bacterias vuelven a depositarse en los dientes.
- Utiliza un limpiador lingual o el dorso del cepillo para arrastrar bacterias y restos de alimentos desde la parte posterior hacia la punta de la lengua.
4. Enjuagues bucales antibacterianos
- Ayudan a eliminar bacterias en zonas donde el cepillo y el hilo dental no alcanzan.
- Se recomienda usar un colutorio sin alcohol para evitar la sequedad bucal.
- Lo ideal es enjuagarse dos veces al día, después del cepillado.
5. Irrigador dental
- El irrigador es un dispositivo que proyecta un chorro de agua a presión entre dientes y encías.
- Elimina restos de alimentos y placa en zonas inaccesibles.
- Es especialmente útil para personas con brackets, prótesis dentales o implantes.
6. Dieta equilibrada y hábitos saludables
- Limita los azúcares y alimentos ultraprocesados, ya que alimentan a las bacterias que producen placa.
- Incluye frutas y verduras crujientes (como manzana o zanahoria), que ayudan a limpiar los dientes de forma natural.
- Evita el exceso de café, té negro, vino tinto y refrescos azucarados, que tiñen los dientes y favorecen el sarro.
- Bebe agua frecuentemente para estimular la producción de saliva, el mejor protector natural contra el sarro.
- No fumes: el tabaco es uno de los mayores responsables de la formación acelerada de sarro y de la enfermedad periodontal.
7. Revisiones periódicas con el dentista
- Por muy buena que sea tu higiene, siempre queda placa en zonas difíciles de alcanzar.
- Se recomienda acudir al dentista una vez al año para una limpieza profesional.
- En pacientes con mayor riesgo (fumadores, embarazadas, diabéticos o personas con problemas periodontales), lo ideal es cada seis meses.
Estos consejos no solo ayudan a prevenir el sarro, sino que también mantienen tu boca protegida frente a caries, halitosis y enfermedades de las encías.
Cuida tu sonrisa en Clínica Dental Oliver Coll en Mataró
En definitiva, el sarro no es un simple problema estético: puede comprometer la salud de tus dientes y encías si no se trata a tiempo. La mejor solución es siempre la prevención y, cuando ya se ha formado, acudir a un profesional de confianza para una limpieza dental completa.
Si ya tienes sarro, no intentes eliminarlo con remedios caseros, ya que pueden dañar tus dientes. La única manera de eliminar el sarro de forma segura y efectiva es con una limpieza profesional, y hoy las clínicas dentales más punteras utilizan sistemas como Air Flow, que apenas producen dolor o molestias. En la Clínica Dental Oliver Coll en Mataró contamos con un equipo especializado en higiene y salud bucodental, que te ayudará a eliminar el sarro de forma segura y a mantener tu sonrisa sana y brillante durante más tiempo.
No dejes que el sarro afecte a tu sonrisa. Llámanos al 93 741 40 06 y pide tu cita ahora en nuestra clínica dental en Mataró y da el primer paso hacia una boca más saludable y radiante.
También puedes leer:
Cómo afecta el estrés a la salud dental. Problemas y soluciones
Cómo usar el hilo dental correctamente (Video explicativo)
Manchas en los dientes, por qué aparecen y cómo eliminarlas
Diabetes y salud dental: cómo te afecta y qué cuidados debes tener
¿Cómo afecta tu salud dental a tu salud general?
Cuales son las bacterias que provocan caries
Limpieza dental y blanqueamiento no es lo mismo

Graduada en Odontología – Universidad Internacional de Cataluña (UIC).
Master en Europeo de Endodoncia – Universidad Internacional de Catalunya (UIC).
Certificación Invisalign Go
Profesora asociada al departamento de odontología de la UIC
