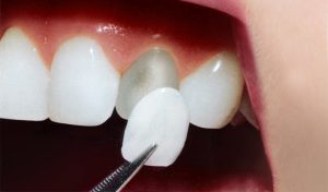
Carillas dentales
Modifica el color, la forma y la posición de tus dientes
¿Sueles ocultar tu sonrisa cuando ves una cámara de fotos? ¿Te da vergüenza mostrarla y te privas de sonreír aunque estés feliz?
Si no te sientes a gusto con tu sonrisa, porque te parece que tienes algunos dientes asimétricos, más pequeños, alguna mancha sobre la superficie del esmalte, o dos piezas ligeramente separadas, debes saber que tu problema tiene fácil solución.
Las carillas dentales son un tratamiento de odontología estética gracias al cual podemos modificar el aspecto de tus dientes y transformar tu sonrisa. Conseguiremos que tu sonrisa nunca más sea una limitación ni una excusa para no mostrar tu felicidad.
Devuelven la juventud a tu sonrisa.
Corrigen el aspecto de dientes asimétricos, agrietados, con bordes irregulares o que se han fracturado tras un golpe.
Ayudan a ocultar pequeños diastemas o espacios interdentales sin necesidad de pasar por un tratamiento de ortodoncia.
Es un tratamiento a medida para ti.
Su colocación es indolora.
Las carillas dentales son duraderas.
Carillas dentales en Mataró
Modifica la forma, el tamaño o el color de tus dientes de forma sencilla e indolora.
Si no estás satisfecho con el color, la forma y/o la posición de tus dientes, las carillas dentales pueden ser tu mejor opción para conseguir un cambio. Con este tratamiento puedes transformar tu estética dental y facial y conseguir una sonrisa con la que te sientas a gusto.
En Clínica dental Oliver Coll todo el equipo de dentistas en Mataró de forma conjunta para diseñar tu nueva sonrisa y eliminar las asimetrías que te impiden sonreír con naturalidad.
Conoce a nuestra especialista en estética dental:
ELIMINA TUS COMPLEJOS GRACIAS A LAS CARILLAS DENTALES
Las personas con unos dientes poco atractivos, de acuerdo a los estándares actuales, no suelen mostrar a menudo su sonrisa. De hecho, muchos pacientes en esta situación podéis llegar a transmitir malhumor e infelicidad, sin ser conscientes de ello. Con las carillas dentales podemos transformar tu sonrisa, eliminar la vergüenza al sonreír y proporcionarte una nueva vida.
OTROS TRATAMIENTOS DE ESTÉTICA DENTAL:
Qué beneficios te aporta usar carillas dentales
- Rejuvenecen el aspecto de tu sonrisa. Son especialmente efectivas para ocultar manchas o tinciones de un color especialmente intenso, que no puede eliminarse con el blanqueamiento dental , consiguiendo de esta manera rejuvenecer tu sonrisa.
- Te ayudan a corregir los dientes agrietados, astillados o rotos, después de un traumatismo, y a arreglar piezas que hayan podido sufrir un desgaste debido a una maloclusión (forma de morder) sin corregir.
- Son la solución ideal cuando se ha producido un desplazamiento natural de las piezas dentales, muy leve, y no es necesario seguir un tratamiento de ortodoncia para corregir su posición.
- Es un tratamiento estético a medida. Previamente realizamos un estudio para poder desarrollar una restauración en armonía con tu fisonomía facial. Este estudio se lleva a cabo a través de una simulación digital y, a posteriori, con la técnica Mockup podemos mostrarte sobre tus dientes naturales los cambios que te proponemos, lo que te permite previsualizar los resultados del tratamiento antes de comenzarlo.
- Es un tratamiento indoloro y duradero. Las carillas son especialmente resistentes a las manchas y no cambian de color. Aunque son delgadas, proporcionan un revestimiento fuerte y duradero.
Cambia la forma de tus dientes a tu gusto
En Clínica Dental Oliver Coll queremos, ante todo, tres cosas: cuidar tu salud, que vuelvas a sentirte cómodo con tu sonrisa y que mejores la imagen que proyectas ante los demás. Para ello, en la primera visita nos reuniremos contigo para comprender qué necesitas a nivel personal y realizaremos un estudio en profundidad para saber qué necesita tu boca a nivel de salud.
En nuestra clínica de Mataró haremos que te sientas como en casa. Realizaremos un seguimiento personalizado de tu caso y seremos transparentes en cuanto al presupuesto y a las etapas de tu tratamiento desde el principio. ¡Contacta con nuestro equipo si quieres ponerte carillas dentales en Mataró!
Facilidades
de pago
Hasta 18 meses
sin intereses*
*No acumulable a otras promociones
Amplios
horarios
De 10:00 a 13:00
y de 15:00 a 20:00
Valoramos
tu tiempo
Agrupamos tratamientos para reducir las visitas y los tiempos de espera
Equipo
multidisciplinar
Cuidamos tu salud
dental desde todas las
especialidades
Visualiza cómo quedará tu sonrisa con carillas dentales
No siempre es fácil dar el paso y decidirte a cambiar tu sonrisa. Muchos pacientes nos han confesado que antes tenían miedo al dentista o que no habían encontrado una clínica dental de confianza en Mataró, y que por eso posponían eternamente su tratamiento.
En Clínica Oliver Coll queremos que te sientas seguro de la decisión que vas a tomar y que sepas desde el principio que vas a conseguir un cambio a mejor. Por eso, hemos implementado DSD, un software con el que podemos mostrarte cómo quedará tu sonrisa con carillas dentales antes de que comiences el tratamiento.
Con el Diseño de Sonrisas Digital, además, diseñamos tu sonrisa ideal teniendo en mente una visión global de las proporciones de tu rostro y de tu armonía facial. Contáctanos si te interesa ponerte carillas dentales en Mataró y conseguir una sonrisa a medida.
Tipos de carillas dentales que ofrecemos en Oliver Coll
Dependiendo de las necesidades de cada paciente, ponemos a vuestra disposición dos tipos de carillas dentales.
Carillas de porcelana
Las carillas de porcelana están diseñadas para durar aproximadamente 15 años. La porcelana es un material de alta calidad, no poroso y totalmente resistente a las manchas y tinciones. A la hora de colocar este tipo de carilla dental, es necesario rebajar un poco el grosor del diente, para que puedan adherirse correctamente y que el resultado sea natural. Una vez puestas, solo necesita los cuidados de salud oral habituales para que perdure su aspecto.Carillas de composite
Las carillas de composite se fabrican directamente sobre el diente. Para realizar este tipo de carillas vamos aplicando unas finas capas de resinas compuestas, dándoles una forma similar a la de los dientes vecinos. Las carillas de composite ofrecen un resultado muy natural y altamente estético. El composite es un material que requiere mayor mantenimiento que la porcelana, es necesario acudir a revisión para pulirlo una vez al año y así devolverle el brillo. Colocar las carillas de composite es un procedimiento totalmente indoloro, en el cual, la mayoría de los pacientes no requieren anestesia. Además, es posible revertirse en un futuro para aplicar un tratamiento más permanente como serían las carillas de porcelana.Carillas de porcelana
Las carillas de porcelana están diseñadas para durar aproximadamente 15 años. La porcelana es un material de alta calidad, no poroso y totalmente resistente a las manchas y tinciones. A la hora de colocar este tipo de carilla dental, es necesario rebajar un poco el grosor del diente, para que puedan adherirse correctamente y que el resultado sea natural. Una vez puestas, solo necesita los cuidados de salud oral habituales para que perdure su aspecto.Carillas de composite
Las carillas de composite se fabrican directamente sobre el diente. Para realizar este tipo de carillas vamos aplicando unas finas capas de resinas compuestas, dándoles una forma similar a la de los dientes vecinos. Las carillas de composite ofrecen un resultado muy natural y altamente estético. El composite es un material que requiere mayor mantenimiento que la porcelana, es necesario acudir a revisión para pulirlo una vez al año y así devolverle el brillo. Colocar las carillas de composite es un procedimiento totalmente indoloro, en el cual, la mayoría de los pacientes no requieren anestesia. Además, es posible revertirse en un futuro para aplicar un tratamiento más permanente como serían las carillas de porcelana.¿Quieres ponerte carillas dentales en Mataró?
Si quieres transformar tu sonrisa y volver a sonreír con total confianza, en nuestra clínica dental de Mataró podemos ayudarte.
Pide una cita con nuestros expertos para que podamos valorar tu caso de forma totalmente personalizada y planificar un tratamiento a tu medida.
En Clínica Dental Oliver Coll creamos sonrisas.
EXCELENTE A base de 356 reseñas emili lluch2025-10-28Trustindex verifica que la fuente original de la reseña sea Google. La clínica dental donde te sentirás como en casa…….nunca mejor dicho…..y más, cuando lo has comprobado. Tenía la necesidad de solucionar mis problemas tan elementales como el poder comer adecuadamente y reparar o sanear algunas piezas. Empezando por Alex, Alejandra, Luis, Edu, etc., y con la excepcional Doctora Alba, quien tiene la paciencia de detallar mientras trabaja todo aquello que te está haciendo y el por qué ; muchas gracias a todos.Un excelente trabajo tanto en coordinación, como en tecnología, con una magnífica estética final. Destacar que los implantes puestos por el Dr. Luis, han sido sin apenas dolor. Cuando alguien entra en una Clínica dental y es bien recibido con mucha atención, es muy agradable, pero cuando en el segundo día te encuentras como en familia, es mucho mas agradable volver. Así pues, mi recomendación es por pròpia experiència. Gracias a Bibiana y a todo el personal ( agradecimiento muy especial a la Dra.Alba ) Dani2025-10-28Trustindex verifica que la fuente original de la reseña sea Google. Resultados espectaculares Gracias a todo el personal de la clínica: Alex, Ale, Pablo, etc... atención y amabilidad 10/10 Jessica Martin2025-10-27Trustindex verifica que la fuente original de la reseña sea Google. Es una gran familia,donde te hacen sentir cómodo,te explican en todo momento con claridad los procesos. Aconsejandote según tus objetivos y posibilidades. mireia villalobos albarran2025-10-27Trustindex verifica que la fuente original de la reseña sea Google. ⭐️⭐️⭐️⭐️⭐️ Poso 5 estrelles perquè no es poden posar més! Més encantada no puc estar. Jo tenia pànic al dentista —només de pensar a entrar per demanar hora ja tremolava—, però ells m’han atès amb tant d’amor i tant de tacte que he perdut la por. Ara només em deixo tocar per ells! A més, han fet una feina espectacular amb mi —i no era gens fàcil—, però ho han fet tot senzill, sense trauma, sense dolor i sense nervis. No puc estar més agraïda. ❤️ Aleix freixa ferrer2025-10-24Trustindex verifica que la fuente original de la reseña sea Google. Un tracte professional i seriós, l'equip molt competent i atent. La clínica compta amb les últimes tecnologies i tècniques en salut i estètica dental a un preu immillorable. Molt recomanable. marcela castillo pardo2025-10-24Trustindex verifica que la fuente original de la reseña sea Google. Llegué a esta clínica para continuar mi tratamiento de ortodoncia después de haber tenido una muy mala experiencia en otro lugar, y la diferencia ha sido enorme. Desde el primer día me sentí en buenas manos: el personal es muy amable, los doctores explican todo con claridad y el seguimiento ha sido excelente. Estoy muy contenta con los resultados y con la atención que he recibido. Sin duda recomiendo esta clínica a quienes buscan un trato profesional y de confianza super recomendadisimosssss!!!!! Sonia Sanchez2025-10-24Trustindex verifica que la fuente original de la reseña sea Google. Estoy encantada con todos los profesionales de la clinica. Cuidan todos los detalles, hacen tratamientos de calidad y el trato es inmejorable. Adeli Pérez Garcia2025-08-21Trustindex verifica que la fuente original de la reseña sea Google. Particularmente yo estoy muy contenta me han atendido súper bien y son muy buenos profesionales olga garcia2025-08-19Trustindex verifica que la fuente original de la reseña sea Google. He quedado encantada! Fui por una urgencia y me atendieron super rápido. Todo el personal es super amable y atento y estuvieron muy pendientes de mi caso. Me pusieron todas las facilidades del mundo! Super agradecida con todo el equipo de grandes profesionales marta Frontons2025-08-06Trustindex verifica que la fuente original de la reseña sea Google. Descubrí la clínica Oliver en el 2017 y queda encantada con la profesionalidad y el como te tratan la paciencia que han tenido conmigo siempre que voy estoy encantada con ellos Alejandra tiene una paciencia y una dulzura que hace que te sientas muy bien y tranquila tenía pánico al dentista por experiencias bastante traumáticas y con ellos ese miedo a ido desapareciendo muchas gracias a todos el equipo por haberme devuelto la sonrisa
Preguntas Frecuentes sobre Carillas Dentales
Son láminas finas que se colocan sobre la parte frontal del diente para mejorar su forma, color, tamaño o posición. Se utilizan principalmente con fines estéticos para conseguir una sonrisa armónica y blanca.
Los dos tipos más comunes son:
- Carillas de porcelana
- Carillas de composite
Ambas tienen características diferentes en cuanto a estética, durabilidad, precio y técnica de colocación.
Son finas láminas de cerámica altamente resistentes y estéticas, diseñadas a medida en laboratorio. Se adhieren al diente y ofrecen un resultado natural y duradero.
Se realizan directamente en clínica con un material de resina estética similar al de los empastes blancos. Son más económicas y permiten modificar la forma de los dientes en una sola sesión.
- Estética superior (más brillo y naturalidad)
- Mayor resistencia al desgaste y a las manchas
- Durabilidad de 10 a 15 años o más
- Conservan mejor el color a lo largo del tiempo
- Menor coste económico
- Se realizan en una sola visita (sin laboratorio)
- Menos invasivas o sin tallado
- Fáciles de reparar si se fracturan
Porcelana: Precio más elevado, necesita varias visitas, puede requerir un ligero tallado del diente.
Composite: Menor durabilidad (4-7 años), pueden mancharse con el tiempo y son algo menos estéticas.
Depende de tus objetivos estéticos, presupuesto, estado de tus dientes y preferencias personales. En nuestra clínica realizamos una valoración estética y funcional para recomendarte la mejor opción.
Las carillas de composite suelen ser reversibles, ya que en muchos casos no requieren tallado. En cambio, las de porcelana sí requieren una mínima preparación del diente, por lo que no siempre son reversibles.
Composite: Puede realizarse en una sola sesión.
Porcelana: Requiere entre 2 y 3 visitas (estudio, preparación, prueba y colocación).
No más que tus dientes naturales. Es importante mantener una buena higiene bucal, evitar morder objetos duros y acudir a revisiones periódicas.
Es poco frecuente, pero puede suceder ante un traumatismo o mal uso. En ese caso, pueden repararse o sustituirse. Las de porcelana son más resistentes que las de composite.
Sí. Podrás comer con total normalidad, aunque es recomendable evitar alimentos muy duros o pegajosos para alargar la vida útil del tratamiento.
No. Bien diseñadas, se integran perfectamente con tu sonrisa. Las de porcelana, especialmente, imitan con gran fidelidad la translucidez natural del esmalte.
Composite: Más accesibles.
Porcelana: Más costosas, pero con mayor durabilidad.
Te daremos un presupuesto personalizado según el número de piezas a tratar y tus objetivos.

